Mente e cervello

Dalla filosofia alla biologia della mente.

 

 

Gli "a priori" e i determinismo cerebrale.

Una serie di predisposizioni del nostro sistema nervoso condizionano il modo in cui percepiamo la realtà.

Il concetto di simmetria:

La decodificazione degli stimoli uditivi rispecchia l'organizzazione della scala musicale:

Le sensazioni sono organizzate in modo "somato-topico" ovverosia specifiche parti del corpo corrispondono a specifiche parti della corteccia sensoriale:

La corteccia cerebrale è suddivisa in aree che decodificano aspetti specifici della realtà, come sostenevano i frenologi?

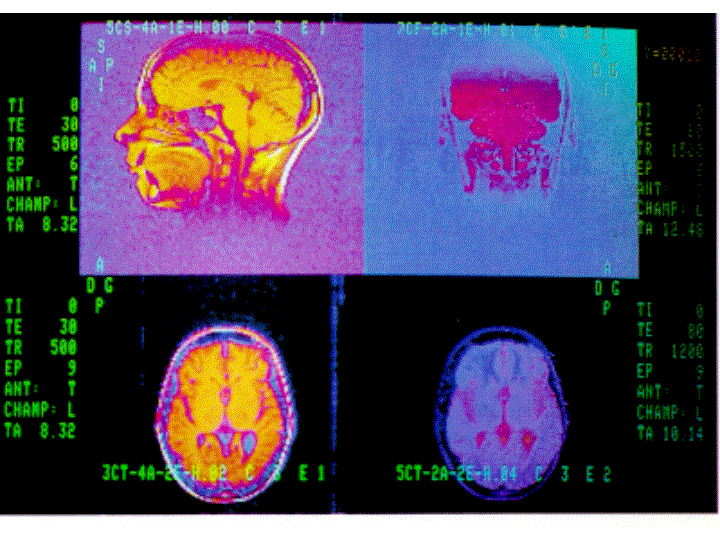
Le tecniche di visualizzazione cerebrale consentono di studiare i rapporti tra struttura cerebrale e funzioni comportamentali:

Il cervello e l'informazione:

Emisferi cerebrali e coscienza.